“跑道型”微谐振器大幅降低光损耗
科技日报
|
2026-02-24 01:45:00
新型水基电解质显著提升锌锰电池稳定性
科技日报
|
2026-02-24 01:35:00
人类独有的下巴可能是进化“副产品”
科技日报
|
2026-02-24 01:35:00
鼻喷通用疫苗可抑制多种病原体侵害
科技日报
|
2026-02-24 01:35:00
印度加强社交媒体AI内容监管
|
2026-02-15 02:02:00
首款针对肺癌的吸入式基因疗法进入快速审批通道
|
2026-02-13 02:02:00
激活特定神经通路可速减体内脂肪
|
2026-02-13 02:02:00
红矮星系统外围发现岩质行星
|
2026-02-13 02:02:00
调控神经元内吞作用“守门人”发现
|
2026-02-12 02:02:00
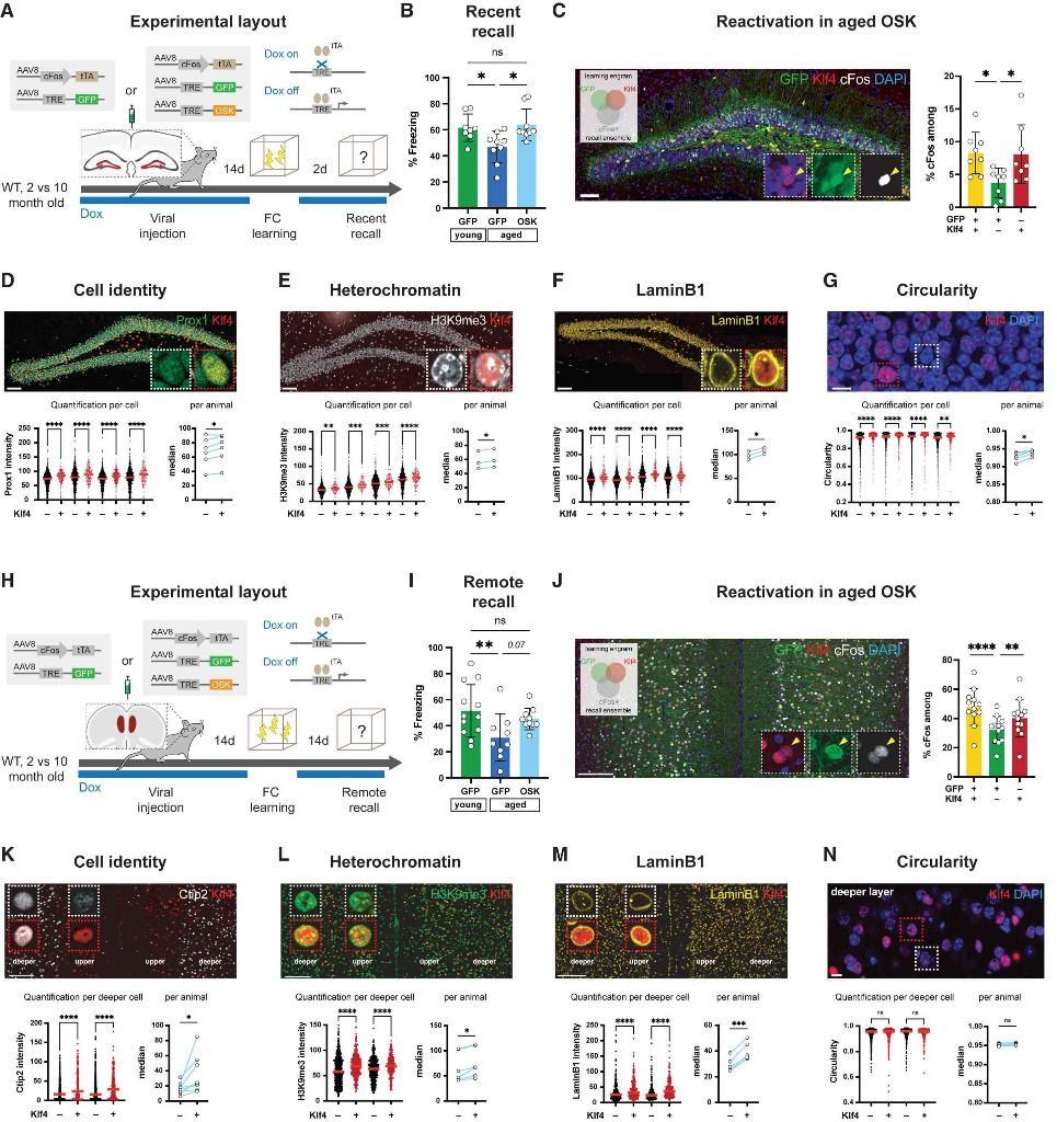
重编程特定神经元能恢复小鼠记忆功能
|
2026-02-12 02:02:00
认知处理速度训练可降低长期痴呆风险
|
2026-02-12 02:02:00
“量子电容”成功读取拓扑量子比特信息
|
2026-02-12 01:01:00
新型机器人平台Kai实现亚微米级操作精度
|
2026-02-11 11:27:36
本世纪末半数牧区或不宜放牧
|
2026-02-11 02:02:00
新方法精准操控与高效分离纳米颗粒
|
2026-02-11 02:02:00
倭黑猩猩能运用想象力假装玩游戏
|
2026-02-11 02:02:00